MRI・CT検査共同利用のご案内

MRI・CT検査共同利用のご案内

志村大宮病院 画像検査センターでは、地域でご活躍の先生方に当院のMRIやCT装置を診療にお役立ていただければと考えており、 先生方の自施設の設備の一部としてご活用して頂ければ幸いです。

MRI・CT共同利用について

  • 当院のMRI・CT検査は患者様、先生方のご都合に合わせ、予約を調整いたします。ほとんどの場合は数日以内、遅くても翌週中には検査が可能です。また、お急ぎの場合は当日検査も対応いたしますのでご連絡下さい。
  • 検査結果は、検査当日にCDRに保存し患者様にお渡しいたします。
  • 読影結果は検査翌日〜数日以内にFAXにて送らせていただきます。
  • 読影は遠隔読影システムを導入しております。読影医には放射線診断学の専門医にご協力をいただいております。
  • 撮影スタッフである診療放射線技師には、医療画像情報精度管理士、放射線管理士、放射線機器管理士と、多方面の専門的知識を持つ者が在籍しており、症例にあわせた適正な画像処理、画質管理、被ばく管理を行っております。

お申込み・お問合せ

MRI検査のご案内

MRI検査は、放射線を使用せず磁気共鳴によって画像化します。  当院では、脳梗塞、認知症、隠れ脳梗塞などの診断には頭部MRI、手足のしびれ・腰痛などには脊椎MRI、胆石にはMRCP、泌尿器科や婦人科領域には骨盤MRI、他に肩・膝などの整形領域のMRIと多種多様な部位においての検査を行っております。

MAGNETOM ESSENZA Evo

MAGNETOM ESSENZA Evo

頭部単純MRA検査 【非造影MRA】

頭部単純MRA検査  非造影MRA

造影剤を使用しなくても血管描出が可能。
動脈瘤の他、脳梗塞時の血管閉塞の評価にも適しています。

頭部単純MRI検査

頭部単純MRI検査

隠れ脳梗塞・脳梗塞の評価に適しています。

聴神経等MRI検査

聴神経等MRI検査

顔面神経・内耳神経・三叉神経の描出が可能です。

腰椎単純MRI検査

腰椎単純MRI検査

腰部脊柱管狭窄症

婦人科MRI検査

婦人科MRI検査

卵巣嚢胞腺腫・多発子宮筋腫

眼窩MRI検査

眼窩MRI検査

視神経や眼球周囲病変の検索に有用です。

頸椎単純MRI検査

頸椎単純MRI検査

頚部脊柱管狭窄症

泌尿器科MRI検査

泌尿器科MRI検査

前立腺癌・膀胱浸潤

腹部単純MRCP検査

腹部単純MRCP検査

胆道系拡張・主膵管拡張(乳頭部病変疑い)

CT検査のご案内

当院のCTは、検出器が80列搭載されているMDCTです。MDCTは細かなデータを短時間で収集でき、一回の撮影で3D画像等の様々な画像作成が可能です。最新の画像処理を搭載し、従来の半分の被ばくにて検査が行えます。
当院では、脳梗塞、脳出血、頭部打撲(骨折)などの診断には頭部CT、虫垂炎、消化管穿孔、腸閉塞、胆石、腎結石などの診断には腹部CT、慢性閉塞性肺疾患(COPD)、肺炎、縦隔腫瘍、肺がんなどの診断には胸部CT、 他に、高原骨折、不顕性骨折、転移性骨腫瘍、術後の評価などの整形領域のCTと多種多様な部位においての検査を行っております。

TOSHIBA Alexion (16列)

Canon Aquilion Lightning / Helios V (80列)

頭部単純CT検査

右被殻出血

右被殻出血:出血の感度は良く、経時的変化の観察に適しています。

左被殻梗塞

左被殻梗塞:初期はMRIの感度が優れますが、フォローアップには簡便なCTが有効です。

左側頭骨骨折

左側頭骨骨折:単純撮影画像から3D処理が可能です。

骨折術後CT検査

骨折術後CT検査

CTでは術後の金属を画像処理により
除去することが可能です。

骨盤CT検査

骨盤CT検査

転移性骨腫瘍
単純撮影にて腫瘍部と骨部の関係を描出できます。

腹部CT検査

腹部CT検査

大腸イレウス:S状結腸軸捻転

腹部CT検査

腹部CT検査

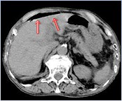
消化管穿孔(大腸癌)

腹部CT検査

腹部CT検査

総胆管結石

中耳CT検査

中耳CT検査

左乳突蜂巣低形成

腹部CT検査

腹部CT検査

右中部尿管結石

HR(高分解能)CT検査

右中部尿管結石

抗酸菌感染症

顔面CT検査

顔面CT検査

鼻骨骨折

その他の設備・検査

X線透視検査

当院は、健康診断・人間ドックを受け付けており、MDL(胃バリウム検査)を行っております。
摂食嚥下(飲み込み)外来にて、VF(嚥下造影検査)を行っております。

骨密度検査

GE社製の超音波装置を採用しており、測定部位は踵骨にて約3分程度で検査できます。

検査結果について

当院は遠隔読影システムを導入しており放射線診断学の専門医にご協力いただき検査結果をレポート形式にて提出いたしております。

尚、検査報告書は翌日〜数日以内にFAXにて送信、 検査画像についてはCD−RにDICOMデータにて保存し患者様にお渡しいたします。

※ 通常のパソコンにCD−Rを入れますと自動再生され、画像が閲覧可能となります。

お申し込み

下記リンクより CT・MRI検査申込票 をダウンロードし必要事項を記入のうえFAXにてお申し込みください。

又、MRI検査をご希望の場合は、合せて MRI検査問診票 もご記入のうえFAXにてお申し込みください。

志村大宮病院 CT・MRI検査申込票 [139KB]

MRI検査問診票 [166KB]

保存がうまく出来ない場合は 右クリック − [対象をファイルに保存] 又は [名前をつけて保存] でお使いのコンピュータへファイルを保存してください

お申込み専用 FAX : 0295−53−7206

お問合せ

予約状況にもよりますが、当日検査も対応いたします。

その他、ご不明な点がございましたらお問合せください。

志村大宮病院 画像検査センター

TEL:0295−53−1111(内線:2130)